20年专注
牙痛,是我们生活常出现的疼痛,从小到大,我们或多或少都有过牙痛的经历,牙痛常常难以缓解,或经常性复发,成为影响我们日常生活的一大难题。
而在各种各样的牙痛中,智齿疼痛,又是造成我们牙痛的一个普遍原因。今天就来说说智齿在什么情况下需要拔除。
智齿是牙列中的最后一颗牙(第三磨牙),上下左右共4颗,一般在 18 到 25 岁之间萌出;
只有少数人天生没有智齿;也有少数人4颗智齿都是正位;大多数人长了4颗或其中几颗,而且因为萌出位置不足是歪着长的(叫作阻生齿);
有关调查表明:
我国16~25岁人群中智齿的萌出率为54%,
在已萌智齿中阻生和错位约占44% ,
其中发生在下颌者约是上颌者的2.5倍。
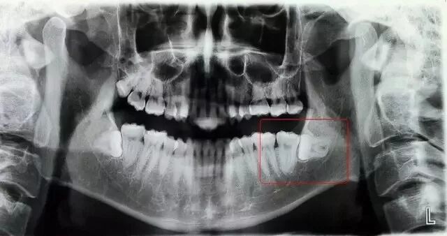
在X线片上可以看得很清晰。
不是所有的智齿都必须拔掉,要因人而异,必须要拍片再下定论。
智齿的阻生或错位易使食物残渣嵌塞在第二磨牙与智齿的牙间和牙周缝隙中,很不容易清除,常发生龋齿。
据调查,下颌第二磨牙牙颈部平均龋患率为16.4%,不同年龄阶段龋患率有显著不同,20岁时仅为3.7%,50岁则高达27%。可见,拔除阻生或错位智齿是预防第二磨牙龋坏的关键。
14-18岁是智齿萌生的最活跃时期,智齿萌出运动的推动力常是造成牙齿拥挤和排列不整齐的主要原因之一。
这种萌出运动的持续推动力只要有4~5克,就足以对第二磨牙产生影响。因此,第二磨牙发生错位,扭转等较为多见,第二磨牙的错位,会使上下方的咬 颌接触面积减少,人的咀嚼功能明显降低。
下颌智齿的阻生或错位常会与上颌第二磨牙发生咬颌干扰而导致下颌病理性后缩,这是诱发颅下颌紊乱症的原因之一。
临床主要表现为颞下颌关节的弹响、疼痛和下颌运动的异常,咀嚼肌的疼痛、耳鸣、舌痛等症状。许多患者在拔除阻生或错位的智齿后,颅下颌紊乱的就好多了。
阻生和错位智齿的牙龈和颊粘膜,可因牙冠边缘的长期机械刺激或,反复咬伤,而使粘膜发生溃疡、糜烂、组织异常增生及白斑等病理损害。
如此长期的创伤修复再创伤过程会影响口腔粘膜上皮的正常角化而发生癌前病损,进而诱发口腔粘膜癌变。
智齿阻生时可呈垂直、前倾、水平、横向、倒置等不同方向萌出。当其部分萌出时,牙冠周围常被牙龈组织不同程度地覆盖,以致在牙冠与牙龈之间形成一个牙龈袋。
由于此袋内易于食物残渣潜藏和细菌的繁殖,当龈袋处遇有创伤或身体抵抗力下降时,就会发生炎症。
常表现为冠周组织红肿疼痛,以致影响咀嚼,吞咽, 还常伴有张口困难及发烧,淋巴结肿大等全身症状。
智齿是可以拔出的,但是,在拔牙后我们应该注意一些问题,以免影响健康。
1、通常拔的时间越久,肿胀的时间也会比较久,尤其是阻生齿。
2、一小时内,所有的血水、口水都要吞下。不可漱口,以帮助血液凝结,伤口复原。
3、回家以后,前两天需要冰敷,两天后再不舒适,则用热敷。
4、在牙龈发炎时不适合去拔掉智齿,应服用消炎药等炎症消除后再去拔牙。
5、月经期间不能拔智齿。
6、怀孕期间不要拔牙,因为拔牙容易出现而且在怀孕期间身体较为脆弱所以在这个时期内不要拔牙。有习惯性流产和早产史者在妊娠期间不拔牙。必须拔牙时尽量选择在妊娠期的3-6个月之间消除对拔牙的恐惧心理以免发生流产和早产。
7、哺乳期拔牙要慎重,因为拔牙一般都是要使用麻醉药,这个时候麻醉药的成分会随着哺乳的乳液被孩子吸收对小孩子神经系统生长发育不好。
以上就是本期的全部内容
更多口腔问题可以直接
咨询小爱牙管家
科普文章推荐




